When A Sore Throat Becomes Life-threatening - Page #3
 

Other Studies:
Chest X-Ray: Increased interstitial markings and no definite focal airspace disease.

ECG: Sinus tachycardia with rate of 145 BPM.

There was concern for a DVT, so a venous doppler of the lower extremity was ordered.

Venous doppler of the lower extremity bilateral: Negative for DVT.

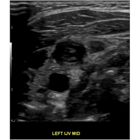
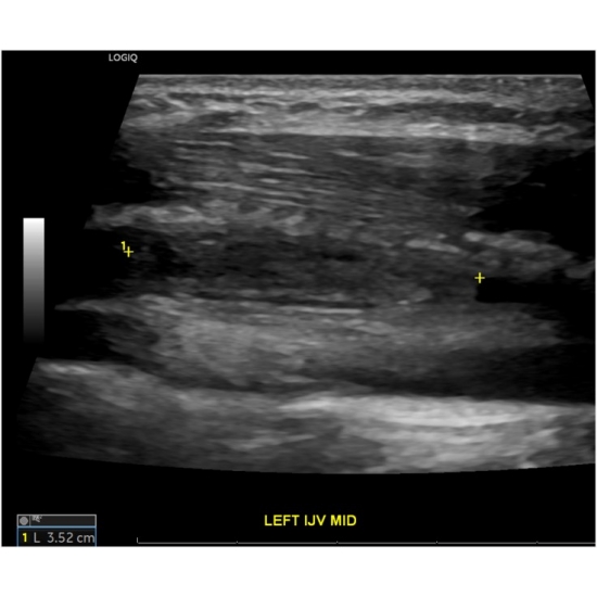
Given her significant neck swelling, ED providers ordered venous doppler ultrasound of the upper extremities.

Venous Doppler of the Upper Extremity bilateral: Occlusive thrombus within the left internal jugular vein measuring approximately 3.1 cm length. Case Photo #10 , Case Photo #2 and Case Photo #3

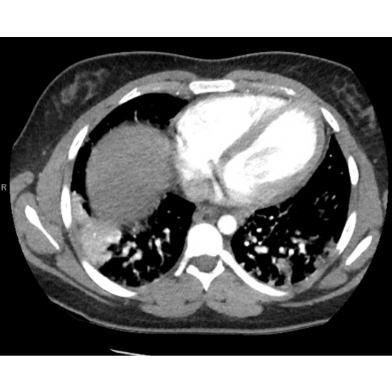
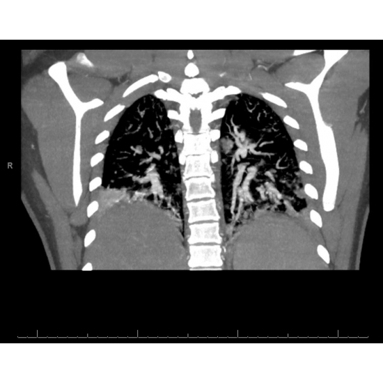
CT Angiogram Pulmonary: Diffuse multifocal consolidations concerning for multifocal pneumonia with mild interstitial pulmonary edema. Case Photo #4 and Case Photo #5

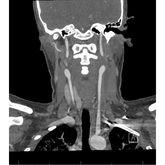
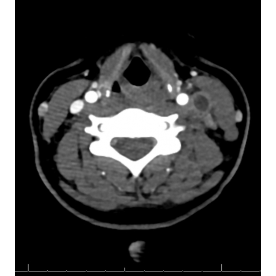
Two days later, she underwent a CT Angiogram of the neck: With mild to moderate left submandibular adenopathy. Occlusive thrombus within left internal jugular vein from C3 level down to the thoracic inlet, involving a 9 cm long segment, compared to the reported 3.1 cm long segment on the duplex sonography. Case Photo #6 and Case Photo #7

Antibiotics had been started empirically prior to collection.

Click here to continue. Challenge yourself by writing down a revised, working diagnosis before moving to the next slide.


NOTE: For more information, please contact the AMSSM, 4000 W. 114th Street, Suite 100, Leawood, KS 66211 (913) 327-1415.
 

© The American Medical Society for Sports Medicine
4000 W. 114th Street, Suite 100
Leawood, KS 66211
Phone: 913.327.1415


Website created by the computer geek