|
Application submission is now closed for the 2026 Class of AMSSM Fellows. New Fellows will be announced to the AMSSM membership after the first of the year and honored at the 2026 Annual Meeting.
Applications for the FAMSSM Designation will be available on an annual basis. Please contact Ellen Glasgow with any questions regarding the FAMSSM application.
|
Event: Thurs., Jan. 22, 2026 | 7:30pm-10pm ET Registration Now Availabile for Fellow, Resident, and Student Members (Limited Registration). To register, Click here. Under the Membership heading, scroll down to the Event Link to register for a spot on a team. Your team will be given a sports medicine case to present at the event. |
AMSSM Collaborate online community provides a forum for year-long connection, giving members the chance to have conversations, share resources and make connections with your peers.
The AMSSM National Fellow Online Lecture Series features talks from national experts on fundamental sports medicine topics pertinent to fellowship training and sports medicine board certification. Go to the collaborate.amssm.org site and view the available lectures in the Upcoming Events area.
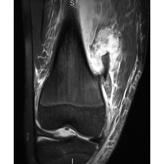
| What Lies Beneath The Bruise - Page #3 | |||
|
Lab Studies: Other Studies: Consultations: |
|||
|
NOTE: For more information, please contact the AMSSM, 4000 W. 114th Street, Suite 100, Leawood, KS 66211 (913) 327-1415. |
|||
Please enter a search term relevant to the search type. For US States - use only letter abbreviations.
