Unusual Complication Of Elbow Dislocation In A Collegiate Football Player - Page #3
 

Lab Studies:
None

Other Studies:
Right Humerus X-Ray Impression:
1. There is no acute osseous abnormality.

Initial Right Elbow X-Ray Impression:
1. There is a questionable occult fracture of the distal right humerus. Clinical correlation, point tenderness exam and follow up in 7-10 days is recommended if needed. No other acute fracture is noted.

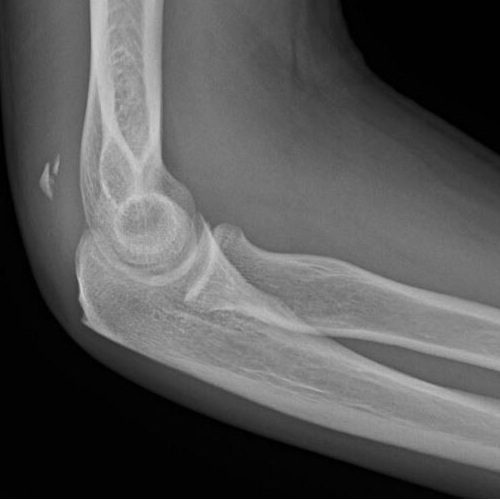
Repeat Right Elbow X-Ray Impression:
1. There is stable alignment of the small ossific fragments along the posterior lower aspect of the forearm which could represent a sequelae of prior triceps injury. Correlation with symptoms suggested. The remaining imaged bones are intact. Joint spaces are within normal limits. No sizable elbow joint effusion. There is a tiny olecranon spur. Case Photo #1

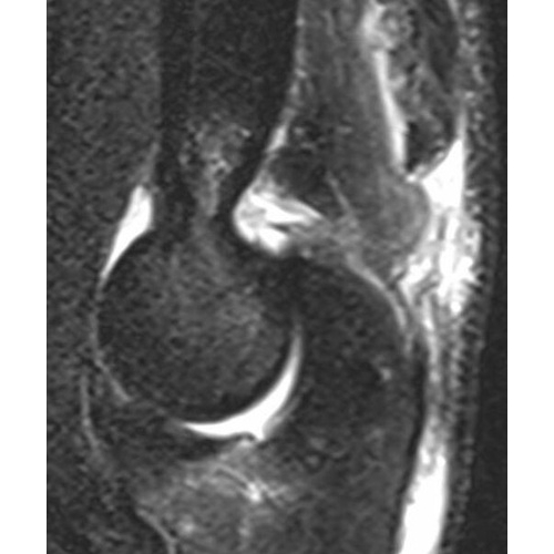
MRI Impression:
1. There is a bony avulsion of the triceps insertion from the olecranon which accounts for the bony fragments seen on preceding radiographs. There is retraction of the tendon stump 2.5 cm with surrounding edema.
2. There is a moderate to high-grade ulnar collateral ligament tear involving the distal attachments to the sublime tubercle of the ulna.
3. There is edema from a bone contusion in the coronoid process of the ulna without evidence of displaced fracture at that site. Case Photo #2 and Case Photo #3

Consultations:
Orthopedics

Click here to continue. Challenge yourself by writing down a revised, working diagnosis before moving to the next slide.


NOTE: For more information, please contact the AMSSM, 4000 W. 114th Street, Suite 100, Leawood, KS 66211 (913) 327-1415.
 

© The American Medical Society for Sports Medicine
4000 W. 114th Street, Suite 100
Leawood, KS 66211
Phone: 913.327.1415


Website created by the computer geek