Ulnar-sided Hand Pain In A Baseball Player - Page #3
 

Lab Studies:
No laboratory evaluations were obtained

Other Studies:
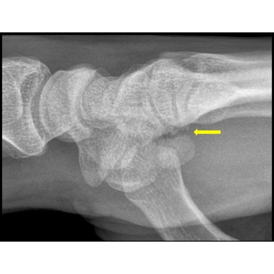
Three-view radiographs of the left hand and wrist were obtained prior to the clinic visit and reported as negative for acute fracture Case Photo #1 . After evaluation in clinic, radiographs were re-examined, and there was suspicion for a fracture at the base of the hamate Case Photo #2 , so a diagnostic ultrasound of the hand was performed. The ulnar artery Case Photo #3 was found to be widely patent without aneurysm, and the ulnar nerve and its deep branch had normal fascicular architecture without swelling or other signs of injury Case Photo #4 . Evaluation of the hamate bone demonstrated a cortical irregularity at the base of the hamate hook with overlying hypoechoic area consistent with a hematoma Case Photo #5 . Subsequent preoperative computed tomography confirmed a transverse fracture across the base of the hook of hamate with 1-2 mm of distraction and faint callus formation Case Photo #6 .

Consultations:
Orthopedic Hand Surgery

Click here to continue. Challenge yourself by writing down a revised, working diagnosis before moving to the next slide.


NOTE: For more information, please contact the AMSSM, 4000 W. 114th Street, Suite 100, Leawood, KS 66211 (913) 327-1415.
 

© The American Medical Society for Sports Medicine
4000 W. 114th Street, Suite 100
Leawood, KS 66211
Phone: 913.327.1415


Website created by the computer geek