The Hidden Cost Of Muscle Mass - Page #3
 

Lab Studies:
Labs were notable for an elevated D-dimer of 5.47, potassium of 5.0, BUN/Cr ratio of 19/1.35, CPK of 552, CRP of 24.2, hemoglobin of 8.6, WBC of 15.7, platelets of 687, and Testosterone level of 5,323. Respiratory viral panel, blood cultures, AFP, CA 15-3, and CEA were all negative.

Other Studies:
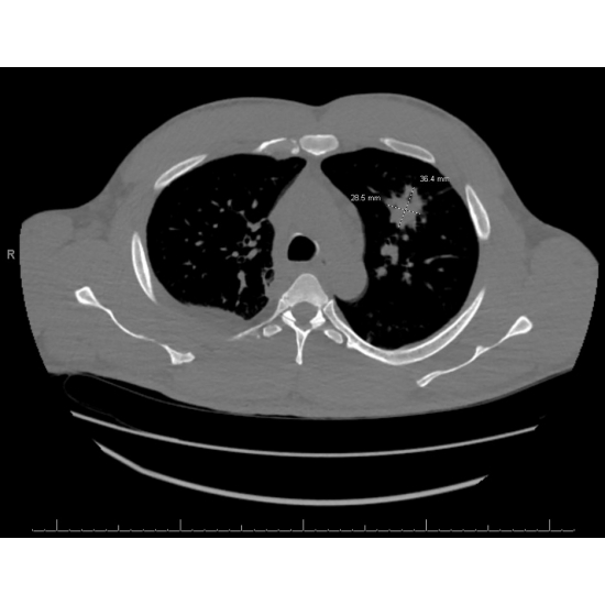
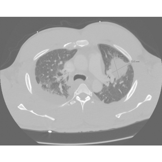
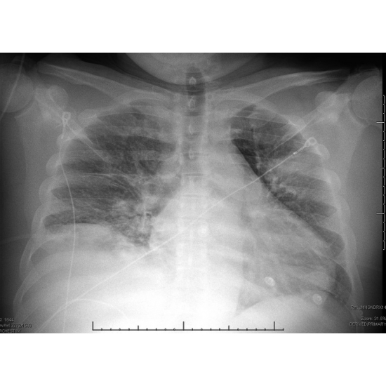
EKG demonstrated rightward axis and incomplete right bundle branch block. Echo found an EF of 60-65%, normal LV wall motion, moderate concentric LV hypertrophy, and mild to moderate dilation of the RV. Chest X-ray was notable for right pleural effusion, ill-defined airspace opacity in the left upper and mid lung zones, possibly an infectious/inflammatory process, cannot exclude neoplasm. Case Photo #1 CTA chest with contrast demonstrated 5.6cm x 5.4 mass causing severe narrowing of left upper lobe segmental pulmonary artery branches, as well as nodules. Case Photo #2 Thoracentesis was performed, and pleural fluid cultures were negative for growth, and cytology was negative for malignancy. Repeat CT chest with contrast done 11 days later showed a decrease in mass to 3.3 x 2.7 cm. Case Photo #3

Consultations:
Pulmonology
Endocrinology
Psychiatry

Click here to continue. Challenge yourself by writing down a revised, working diagnosis before moving to the next slide.


NOTE: For more information, please contact the AMSSM, 4000 W. 114th Street, Suite 100, Leawood, KS 66211 (913) 327-1415.
 

© The American Medical Society for Sports Medicine
4000 W. 114th Street, Suite 100
Leawood, KS 66211
Phone: 913.327.1415


Website created by the computer geek