The Foot That Wouldn't Heal - Page #1
 

Author: Bernadette Pendergraph, MD
Editor: Kevin Chiang, MD, MEd
Editor: Kristine Karlson, MD, FAMSSM

Patient Presentation:
A 48-year-old-female runner presented with lateral foot pain after a misstep on second base.

History:
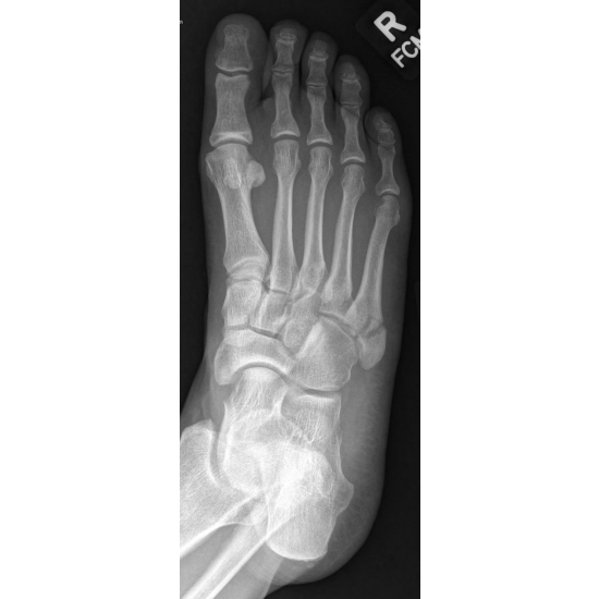
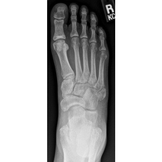
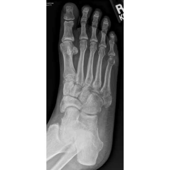
A 48-year-old-female runner complained of right lateral foot pain after running the bases at a softball game. She inverted her ankle on second base and felt a crack, but kept playing afterwards. She initially self-treated with a walking boot, but later went to the sports medicine clinic and was diagnosed with a right fifth metatarsal fracture. Case Photo #1 Case Photo #2

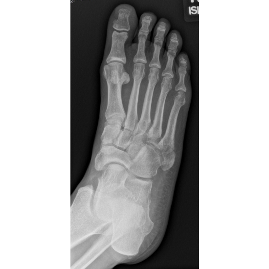
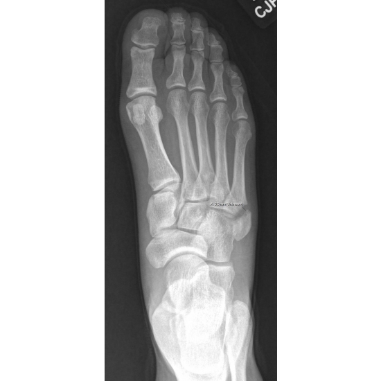
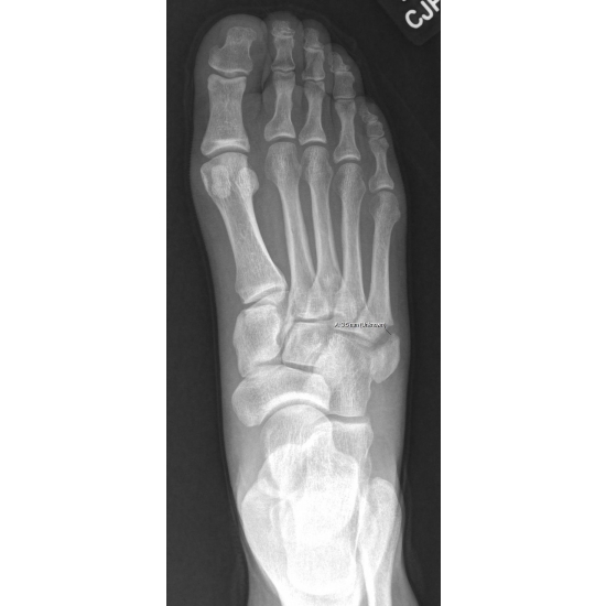
She continued with protected weight bearing in a walking boot and was later placed in a non-weight bearing cast for 4 weeks because of increasing diastasis of her fracture pieces. Case Photo #3 Case Photo #4

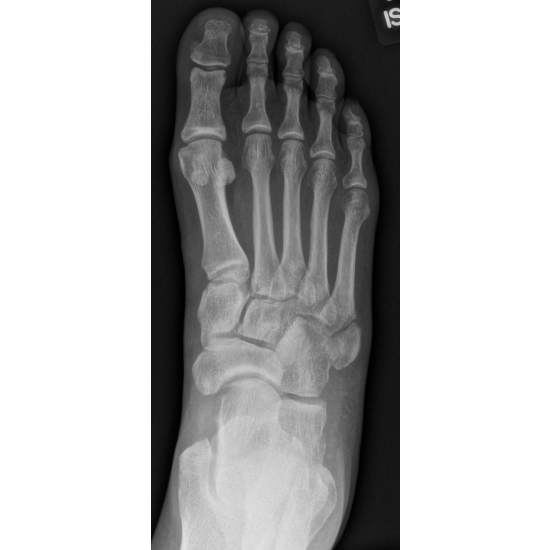
She was transitioned to a weight bearing cast for an additional 4 weeks but had persistent pain and no significant callus formation on follow-up x-rays. Case Photo #5 Case Photo #6

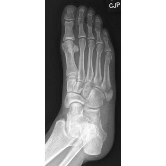
Because of persistent pain and likely non-union, she was referred to a foot and ankle surgeon to discuss surgical management. Case Photo #7 Case Photo #8

Physical Exam:
Evaluation of the right foot and ankle showed soft tissue swelling along the lateral ankle with ecchymosis at the base of the fifth metatarsal. Range of motion of the ankle showed 0 degrees of dorsiflexion, 40 degrees of plantarflexion, 20 degrees of inversion and 10 degrees of eversion. There was tenderness to palpation of the anterior talofibular ligament and the base of the fifth metatarsal. The rest of the foot and ankle were non-tender. Ankle strength was 5/5 for dorsiflexion, plantarflexion, inversion, and eversion. Anterior drawer and tibia-fibula compression tests were negative for instability.

Click here to continue. Challenge yourself by writing down a broad differential diagnosis before moving to the next slide.


NOTE: For more information, please contact the AMSSM, 4000 W. 114th Street, Suite 100, Leawood, KS 66211 (913) 327-1415.
 

© The American Medical Society for Sports Medicine
4000 W. 114th Street, Suite 100
Leawood, KS 66211
Phone: 913.327.1415


Website created by the computer geek