The Foot That Wouldn't Heal - Page #4
 

Working Diagnosis:
1. Lateral ankle sprain
2. Zone 1 fifth metatarsal fracture, non-union

Treatment:
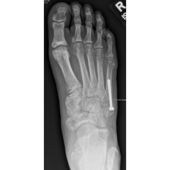
Because the athlete was frustrated with the limited improvement after four months of immobilization, she and the surgeon proceeded with an open reduction internal fixation of the fifth metatarsal fracture with bone autograft from the calcaneus. Case Photo #10

Postoperatively, she was treated with a posterior splint for 2 weeks, followed by a non-weight bearing cast for 4 weeks, and then a walking boot for 2 weeks. She then transitioned to a shoe and did a home rehabilitation program.

Outcome:
The athlete slowly progressed in activities and began hiking 3.5 months after surgery. She progressed to running over the next 1-2 months and completed a half marathon 8 months post-surgery.

Author's Comments:
Injuries to the base of the fifth metatarsal are divided into 3 zones and are predisposed to poor healing due to limited blood supply. Zone 1 fractures of the fifth metatarsal tuberosity occur when the hindfoot is forced into inversion during plantarflexion and are referred to as avulsion fractures. Zone 2 fractures occur with forefoot adduction. Zone 3 fractures typically occur due to repetitive microtrauma. Zone 1 fractures respond well to protected weight bearing in a hard soled shoe, walking boot, or cast and progress over 4-8 weeks. Although Zone 1 fractures rarely need surgery, the degree of diastasis, as well as noncompliance with activity modification, led to surgical management in this athlete. Clear instructions for safe activities and driving are crucial for successful treatment. Some individuals can safely drive using hand controls, such as QuicStick, after checking with the department of motor vehicles.

Editor's Comments:
This case highlights a Zone 1 fifth metatarsal fracture complicated by non-union. Even with a confirmed fracture, inversion and plantarflexion injuries can also result in concurrent ligament sprains, peroneal tendon injuries, or other occult fractures, such as to the cuboid or calcaneus. Therefore, it is important to include ligament stability testing during the clinical exam. The proximal fifth metatarsal receives blood from branches of the lateral plantar artery proximally and the nutrient artery distally, with a relative "watershed" area at the metaphyseal-diaphyseal junction. This helps to explain why Zone 1 fractures generally heal more reliably than those fractures seen in Zone 2 and Zone 3, which traverse this watershed area, resulting in a higher risk for delayed union or non-union. With regards to imaging considerations, serial x-rays are a cost-effective way to assess and follow callus formation and fracture gap changes. CT can help confirm a fracture gap or sclerosis suggesting non-union, and it is also valuable for preoperative planning. Surgical indications for Zone 1 fractures may include displacement greater than 3 mm, rotational malalignment, symptomatic non-union, the presence of concomitant injuries that limit effective immobilization, or a high-level athlete needing predictable union for timely return to sport. In the presence of sclerotic edges or non-union, the calcaneus is a common donor site used for a graft due to its proximity, as well as its composition of cancellous bone, which provides a high osteogenic potential. As with other injuries, clear and realistic expectations are essential for athlete satisfaction and adherence. Proper rehabilitation and a gradual return to sport protocol may help to reduce the risk of re-injury. Prolonged immobilization and delayed healing can affect the mental health of athletes. In some athletes, a biomechanical assessment can be considered to address factors that may predispose to re-injury.

References:
1. Kim JE, Lee JY, Lee GW. Proximal fifth metatarsal fractures: an up-to-date review. Arthrosc Orthop Sports Med. 2024;11(2):49-56
2. Chloros GD, Kakos CK, Tastsidis JK, Giannoudis VP, Panteli M, Giannouis PV. Fifth metatarsal fractures: an update on management, complications, and outcomes. EFORT Open Reviews. 2021;7:13-25.

Return To The Case Studies List.


NOTE: For more information, please contact the AMSSM, 4000 W. 114th Street, Suite 100, Leawood, KS 66211 (913) 327-1415.
 

© The American Medical Society for Sports Medicine
4000 W. 114th Street, Suite 100
Leawood, KS 66211
Phone: 913.327.1415


Website created by the computer geek