Rebounding From Breathlessness: A Case Of Wheezing And Dyspnea In A Collegiate Women's Basketball Player - Page #3
 

Lab Studies:
Complete Blood Count: Unremarkable with Hemoglobin 12.3 and hematocrit 38.2

Allergy panel: Multiple positives

Other Studies:
Two-view chest X-ray: Right-sided aortic arch noted Case Photo #1 .
Pulmonary Function Tests: Normal except low diffusing capacity of the lungs for carbon monoxide (DLCO)
Sleep study: Unremarkable
TransThoracic Echocardiogram (TTE): Normal left ventricular ejection fraction, chamber sizes, valvular function, and pulmonary artery systolic pressure
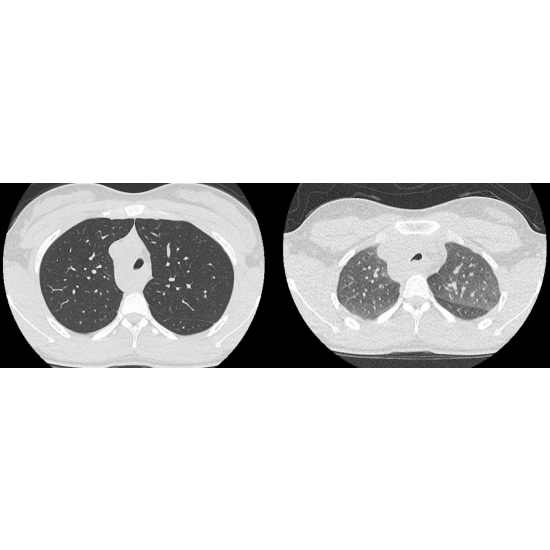
CT angiogram chest: Mild tracheal narrowing associated with a vascular ring and a right aortic arch Case Photo #2 Case Photo #3 .
CT chest without contrast:
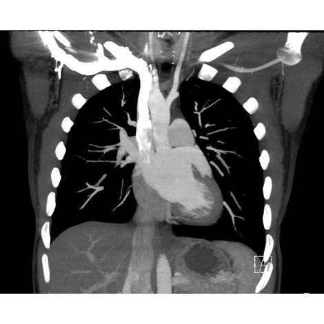
Right aortic arch with aberrant left subclavian artery arising from diverticulum of Kommerell, compatible with vascular ring Case Photo #4 .
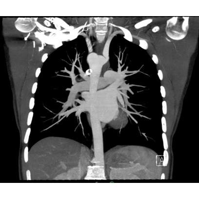
Mild focal tracheal stenosis and tracheomalacia at the level of the vascular ring Case Photo #5 .

Consultations:
After presenting to the pulmonologist, who obtained an extensive cardiopulmonary workup, the patient was then referred to cardiothoracic surgery for intervention on the newly identified vascular ring.

Click here to continue. Challenge yourself by writing down a revised, working diagnosis before moving to the next slide.


NOTE: For more information, please contact the AMSSM, 4000 W. 114th Street, Suite 100, Leawood, KS 66211 (913) 327-1415.
 

© The American Medical Society for Sports Medicine
4000 W. 114th Street, Suite 100
Leawood, KS 66211
Phone: 913.327.1415


Website created by the computer geek