Radial Tunnel Syndrome
 

Author: Stephen Fanous, BA
Affiliation: Medical Student
Co Author(s): Alexandre Lavigne, MD Michael Khadavi, MD
Senior Editor: William Berrigan, MD

Clinical Vignette: A 52-year-old female presented with insidious onset of left lateral elbow pain that radiated over the dorsal aspect of the forearm, which had been bothering her for a few months. Motor and sensory exams of the left upper extremity were normal. There was no pain with passive wrist flexion and resisted wrist extension. She had tenderness to palpation over the radial tunnel, but no tenderness over the lateral epicondyle. Tinel sign was positive at the radial tunnel.

Type of Probe Used: 3-14 MHz linear array transducer



Labeled ultrasound-guided injection at the radial tunnel using a lateral-to-medial short-axis approach, with the needle tip visualized adjacent to the deep motor branch of the radial nerve. * = Deep motor branch of the radial nerve R = Radius Arrowheads = Needle


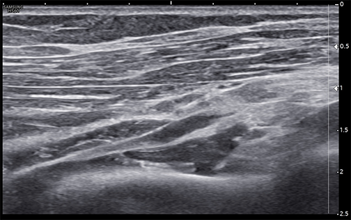
Unlabeled short-axis ultrasound image of the deep motor branch of the radial nerve at the arcade of Frohse.
View Video

Unlabeled Short Axis Ultrasound Video along the course of the common radial nerve bifurcation into the superficial and deep branches. Red arrow = Common radical nerve Green arrow = deep branch of the radial nerve Yellow arrow = superficial branch of the radial nerve


Labeled short-axis ultrasound image of the deep motor branch of the radial nerve at the arcade of Frohse, showing nerve enlargement, with loss of the normal honeycomb fascicular pattern and hypoechogenicity. * = Deep motor branch of the radial nerve ECRB = Extensor carpi radialis brevis muscle ECRL = Extensor carpi radialis longus muscle DS = Supinator muscle deep head SS = Supinator muscle superficial head R = Radius SC = Subcutaneous tissue


Measured short-axis ultrasound image of the deep motor branch of the radial nerve at the arcade of Frohse showing a cross-sectional area of approximately 5.0 mm² (normal <3.0 mm²).


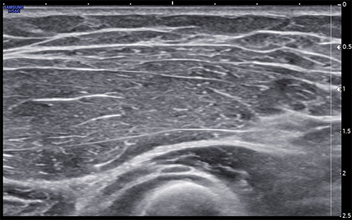
Unlabeled short-axis ultrasound image of the deep motor branch of the radial nerve a few millimeters distal to the arcade of Frohse.


Labeled short-axis ultrasound image of the deep motor branch of the radial nerve a few millimeters distal to the arcade of Frohse. DS = Supinator muscle deep head SS = Supinator muscle superficial head R = Radius


Measured short-axis ultrasound image of the deep motor branch of the radial nerve, a few millimeters distal to the arcade of Frohse, showing a cross-sectional area of 2.51 mm² (normal <3.0 mm²).


Unlabeled long-axis ultrasound image of the deep motor branch of the radial nerve passing beneath the arcade of Frohse and through the supinator muscle heads.


Labeled long-axis ultrasound image of the deep motor branch of the radial nerve appearing thickened and irregular (arrow) while passing beneath the arcade of Frohse and through the supinator muscle heads. * = Deep motor branch of the radial nerve ECRB = Extensor carpi radialis brevis DS = Supinator muscle deep head SS = Supinator muscle superficial head R = Radius

NOTE: For more information, please contact the AMSSM, 4000 W. 114th Street, Suite 100, Leawood, KS 66211 (913) 327-1415.
 

© The American Medical Society for Sports Medicine
4000 W. 114th Street, Suite 100
Leawood, KS 66211
Phone: 913.327.1415


Website created by the computer geek