Quadriceps Hematoma And Myositis Ossificans
 

Author: Brady Fleshman, MD
Affiliation: University of Missouri
Senior Editor: William Denq, MD

Clinical Vignette: 22-year-old male Division I basketball player presents to clinic for re-aspiration of large quadricep hematoma that was sustained during a basketball game about four weeks prior. Initial aspiration was completed two weeks prior. Athletic trainer stated right thigh swelling had recurred, and the patient was having limited knee flexion.

Type of Probe Used: C1-5-RS Wideband Convex Array Probe



Unlabeled long axis view of the right quadriceps muscle with hematoma two weeks after the initial injury.


Labeled long axis view of the right quadriceps muscle with hematoma two weeks after the initial injury.


Unlabeled long axis view of the right quadriceps muscles with myositis ossificans four weeks after initial injury and two weeks after aspiration.


Labeled long axis view of the right quadriceps muscles with myositis ossificans four weeks after initial injury and two weeks after aspiration.


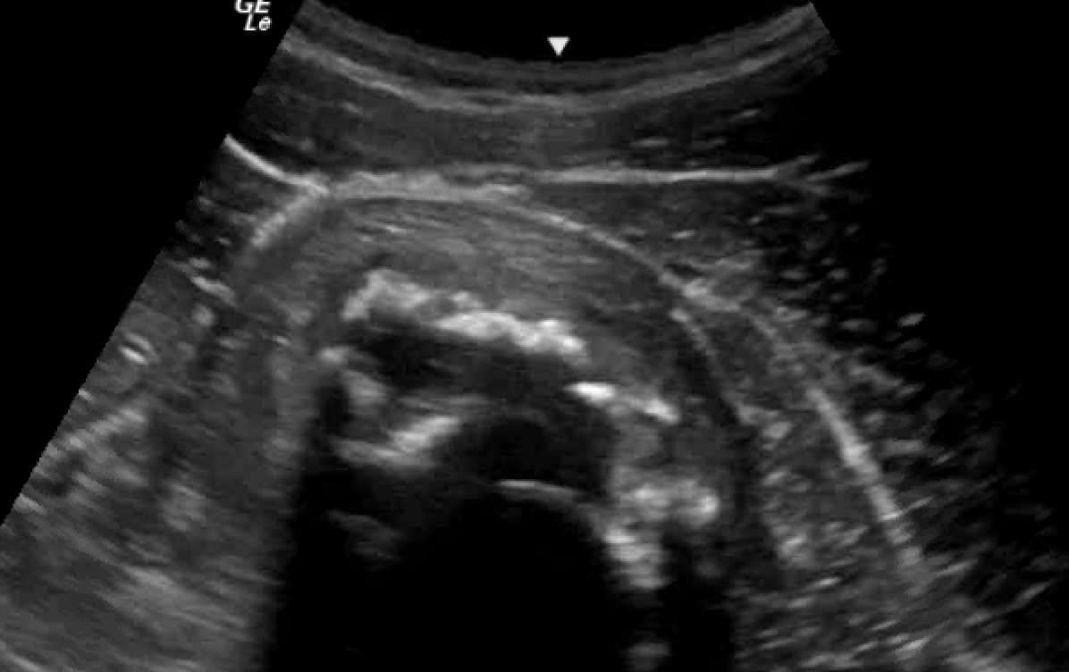
Unlabeled short axis view of the right quadriceps muscles with myositis ossificans four weeks after initial injury and two weeks after aspiration.


Labeled short axis view of the right quadriceps muscles with myositis ossificans four weeks after initial injury and two weeks after aspiration.
View Video

Cine short axis evaluation of the quadriceps muscle and myositis ossificans from proximal to distal.

NOTE: For more information, please contact the AMSSM, 4000 W. 114th Street, Suite 100, Leawood, KS 66211 (913) 327-1415.
 

© The American Medical Society for Sports Medicine
4000 W. 114th Street, Suite 100
Leawood, KS 66211
Phone: 913.327.1415


Website created by the computer geek