Prepatellar Bursitis Of The Knee
 

Author: Alexandre Mazar, MD
Affiliation: Bassett Healthcare Network
Co Author(s): Emma Cronk, M.D., CAQSM, Robert Gapinski, M.D.,CAQSM, RMSK.

Clinical Vignette: 71 yo male presents with right anterior knee pain and swelling after a fall onto the right knee 2 months ago. Right knee pain is aggravated by kneeling. Exam shows a circular subcutaneous fluctuant fluid collection over the patella measuring 6 cm in diameter without redness, warmth to touch or drainage. There is mild tenderness to palpation of the fluid collection but no tenderness to palpation of the medial or lateral joint lines. Range of motion and strength of the right knee are normal.

Type of Probe Used: 4-18 MHz linear array transducer



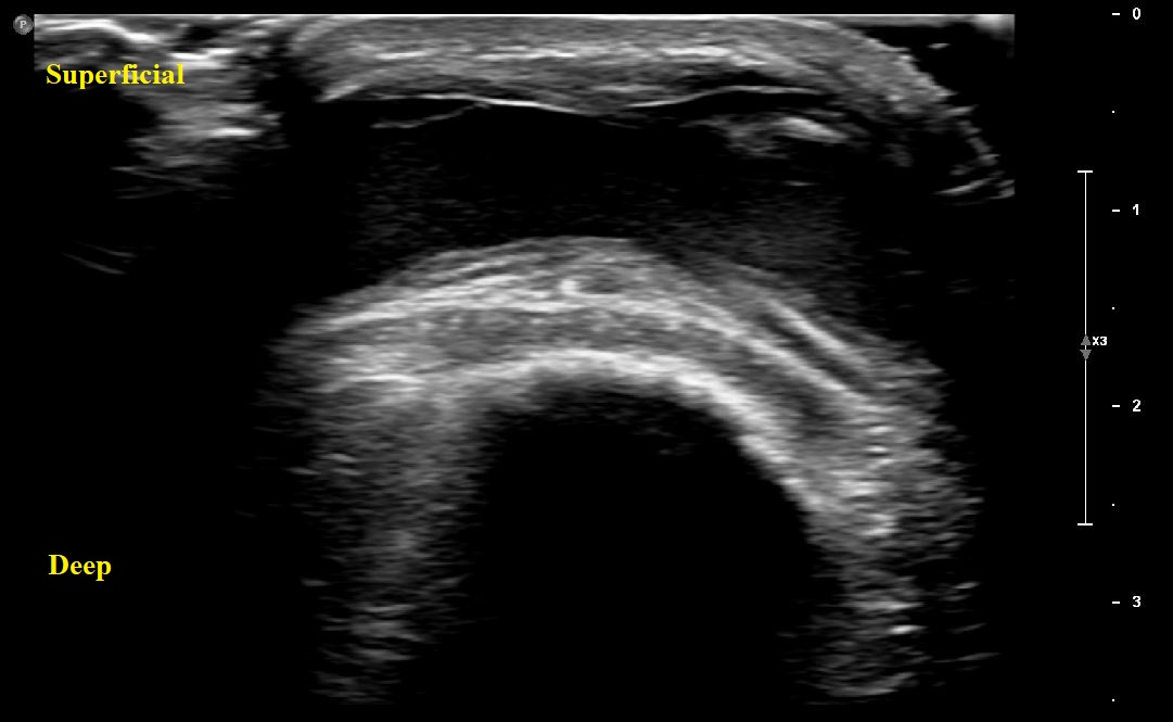
Short Axis view of Right proximal patellar tendon showing large complex fluid within the prepatellar bursa with bursal lining hypertrophy at the base.


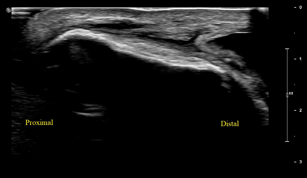
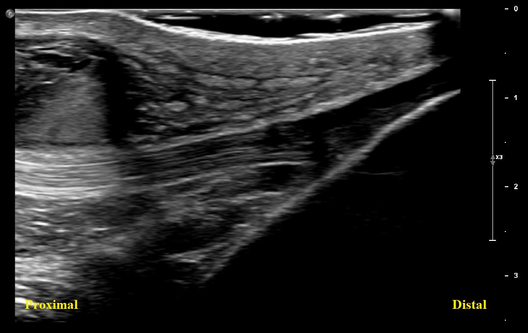
Long axis view of distal patellar tendon with overlying bursal distension


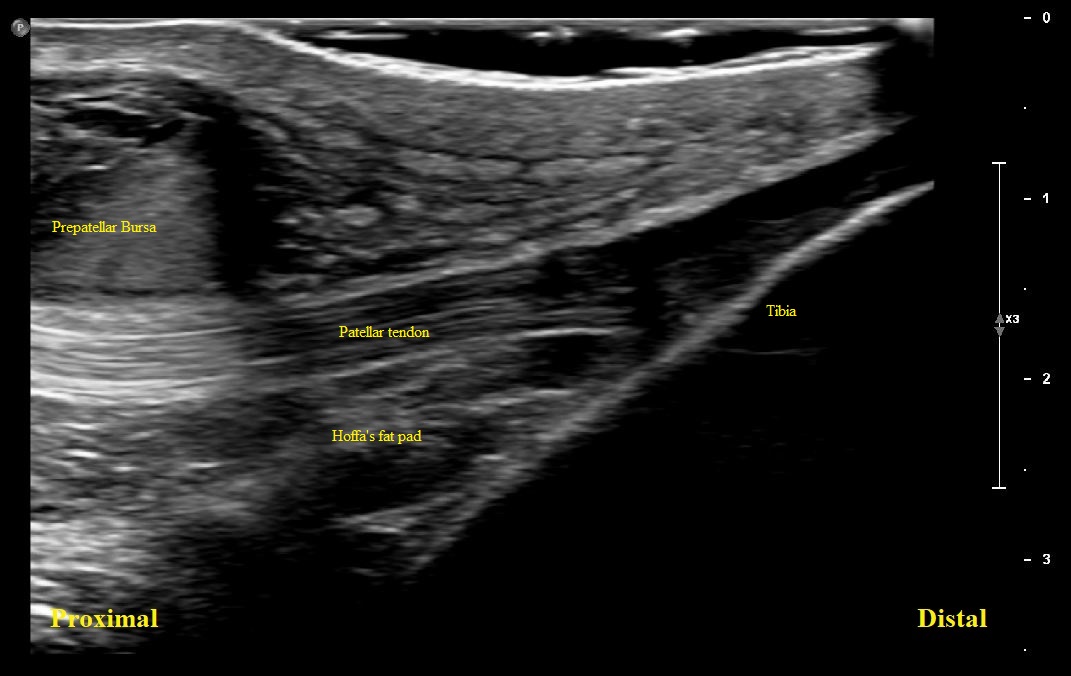
Long axis view of right distal patellar tendon. There is partial visualization of a distended prepatellar bursa with complex fluid. Distal Patellar tendon is intact. There is no superficial or deep infrapatellar bursal distension/bursitis


Short Axis view of proximal patellar tendon with overlying prepatellar bursal distension.


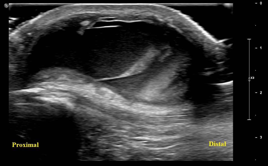
Long Axis view of Right Proximal Patellar tendon with large complex fluid within the prepatellar bursa with bursal lining hypertrophy. Patellar tendon is intact.


Long Axis view of Right Patella with overlying prepatellar bursal distension/bursitis. No fractures or cortical irregularities along patella.


Long Axis view of Right Proximal Patellar tendon with overlying prepatellar bursal distension


Long Axis view of Right Patella with overlying prepatellar bursal distension.

NOTE: For more information, please contact the AMSSM, 4000 W. 114th Street, Suite 100, Leawood, KS 66211 (913) 327-1415.
 

© The American Medical Society for Sports Medicine
4000 W. 114th Street, Suite 100
Leawood, KS 66211
Phone: 913.327.1415


Website created by the computer geek