Neck Stiffness In A Collegiate Swimmer: Uncovering A Hidden Threat In The Training Room - Page #3
 

Lab Studies:
Labs were offered in training room, but declined by the patient. Initial emergency department labs included a complete blood count, complete metabolic panel, creatine kinase, haptoglobin, lactate dehydrogenase, direct antiglobulin test, urinalysis, and urine hCG pregnancy test. The notable results from these labs were a white blood cell count of 12.2, a hemoglobin of 8.0 (down from 13.4), creatine kinase of 44, lactate dehydrogenase of 212, haptoglobin 371, negative direct antiglobulin test, negative urine pregnancy test, and a urinalysis showing 1+ blood and 1+ bilirubin. Subsequent emergency department visits showed uptrending white blood cell counts, stable hemoglobin, elevated ESR and CRP at 108 and 373.1, respectively, mildly elevated lactate at 2.4, and blood cultures that grew Staphylococcus intermedius. Wound cultures from the abscess debridement grew methicillin-sensitive Staphylococcus epidermidis, Parvimonas, Candida albicans, Bacillus species.

Other Studies:
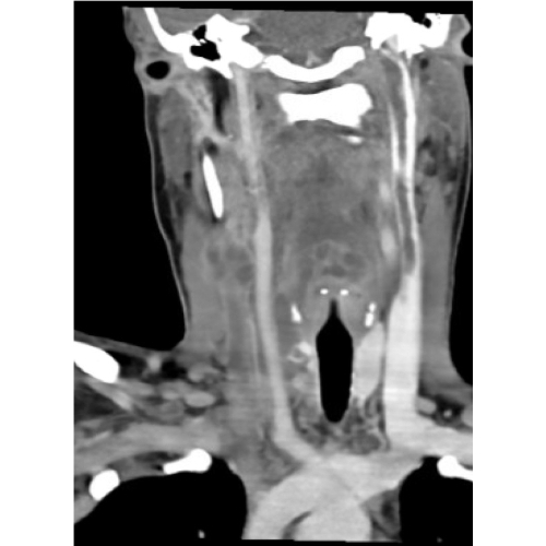
CT Soft Tissue Neck with IV Contrast revealed multi-locular fluid collections within the prevertebral space and along the right cervical lymph node chain with involvement of the right lobe of the thyroid and thyroid isthmus, an occlusive thrombus within the right internal jugular vein and nonocclusive thrombus on the left, and patchy airspace opacities at the lung apices.

Case Photo #1

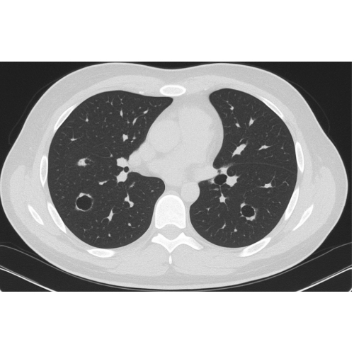
CT Chest with IV Contrast demonstrated air fluid levels, concerning for pulmonary abscesses secondary to septic emboli to the lungs.

Case Photo #2

MRI Brain and Spine showed no acute intracranial lesion and no obvious abnormal intracranial enhancement. It did, however, reveal a posterior paraspinal epidural collection from T1-T3 and extensive paraspinal soft tissue edema with multiple enhancing fluid collections within the neck.

Consultations:
Consultations during her clinical course included Otolaryngology, Neurosurgery, Critical Care, Infectious Disease, Pulmonary, Interventional Radiology, Hematology, and Vascular Surgery.

Click here to continue. Challenge yourself by writing down a revised, working diagnosis before moving to the next slide.


NOTE: For more information, please contact the AMSSM, 4000 W. 114th Street, Suite 100, Leawood, KS 66211 (913) 327-1415.
 

© The American Medical Society for Sports Medicine
4000 W. 114th Street, Suite 100
Leawood, KS 66211
Phone: 913.327.1415


Website created by the computer geek