Myocardial Madness: A Collegiate Basketball Player With A Unique Cardiovascular Condition - Page #3
 

Lab Studies:
Initial labs were normal, which included a complete blood count with differential, a comprehensive metabolic panel, and thyroid-stimulating hormone. Review of previous labs revealed negative testing for Marfan Syndrome, Ehlers-Danlos Syndrome, and Loeys-Dietz Syndrome.

Other Studies:
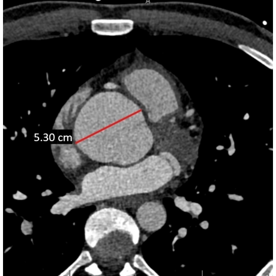
Screening electrocardiogram revealed atrial fibrillation with a ventricular rate of 94 beats per minute Case Photo #1 , and a three-day Holter monitor resulted in a 100 percent atrial fibrillation burden with an average heart rate of 110 beats per minute Case Photo #2 . A transthoracic echocardiogram showed severe aortic sinus and ascending aorta dilation to a maximum diameter of 5.10 centimeters (at his age, normal is considered 2.5 centimeters to 3.5 centimeters). It also revealed a mildly dilated left ventricle with normal wall thickness, systolic function, and diastolic function. It showed mild right ventricle dilation with normal systolic function. Mild aortic, mitral, tricuspid, and pulmonic regurgitation was present. The inferior vena cava was mildly dilated. Computerized tomography angiography confirmed the presence of a dilated aortic root with a maximum diameter of 5.30 centimeters at the sinus of Valsalva Case Photo #3 . On review of imaging records from his prior school, he received a screening transthoracic echocardiogram as a part of his pre-participation evaluation, which revealed the initial aortic root dilation. Subsequent workup at his previous school with a CT angiogram revealed a maximum diameter of the aortic root of 5.10 centimeters one year ago. Cardiac magnetic resonance imaging with and without intravenous contrast reiterated all findings as noted above and showed that the aortic size was normal above the level of the mid-ascending aorta Case Photo #4 . Computerized tomography coronary angiography was done about two months after the initial imaging listed above, which revealed no coronary artery atherosclerosis and revealed a maximum aortic root dilation of 5.60 centimeters Case Photo #5 . Based on these results, he had an aortic root z-score of 7.90 (normal variance is negative 2 to positive 2). (1-2)

Consultations:
A multidisciplinary approach was taken to further work-up and treat this athlete's conditions. He was seen by the genetics team, cardiology electrophysiology team and cardiothoracic surgery team to coordinate the next steps and definitive treatment.

Click here to continue. Challenge yourself by writing down a revised, working diagnosis before moving to the next slide.


NOTE: For more information, please contact the AMSSM, 4000 W. 114th Street, Suite 100, Leawood, KS 66211 (913) 327-1415.
 

© The American Medical Society for Sports Medicine
4000 W. 114th Street, Suite 100
Leawood, KS 66211
Phone: 913.327.1415


Website created by the computer geek