Midportion Achilles Tendinopathy And Partial Tear
 

Author: Alexandre Lavigne, MD
Affiliation: Kansas City Orthopedic Alliance, University of Missouri PM&R, University of Montreal PM&R
Co Author(s): Michael Khadavi, MD, RMSK
Senior Editor: Carlton Covey, MD, MEd

Clinical Vignette: A 55-year-old male presented with a one-year history of insidious onset right posterior ankle pain. He is an avid runner, hiker, and rock climber but has been unable to engage in these activities in recent months due to worsening symptoms. On physical examination, the midportion of the right Achilles tendon is markedly thickened and tender to palpation. The patient is unable to perform a single-leg calf raise because of pain.

Type of Probe Used: 3-14 MHz linear array transducer



Unlabeled short-axis ultrasound image of the midportion Achilles tendon showing the ultrasound-guided cyst aspiration using an 18-gauge, 1.5-inch needle.


Unlabeled short-axis ultrasound image of the midportion Achilles tendon using color Doppler, demonstrating multiple intratendinous neovessels consistent with chronic and severe tendinopathy.


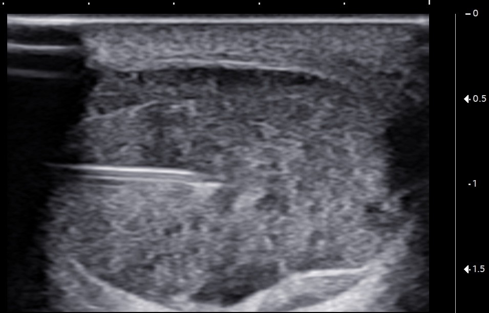
Unlabeled short-axis ultrasound image of the midportion Achilles tendon showing the 22-gauge, 1.5-inch needle advancing with a lateral-to-medial approach through the tendon before injecting the bone marrow concentrate.


Unalebeled short-axis ultrasound image of the midportion Achilles tendon demonstrating that the hyperechoic connective tissue matrix fills the partial tears.
View Video

Short-axis ultrasound video of the midportion Achilles tendon showing the ultrasound-guided percutaneous ultrasonic tenotomy using a lateral-to-medial approach.


Short-axis ultrasound image of the midportion Achilles tendon showing the depth and width of the largest intrasubstance partial tear.


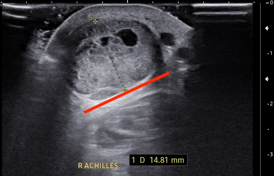
Short-axis ultrasound image of the midportion Achilles tendon showing the tendon thickness measurement.


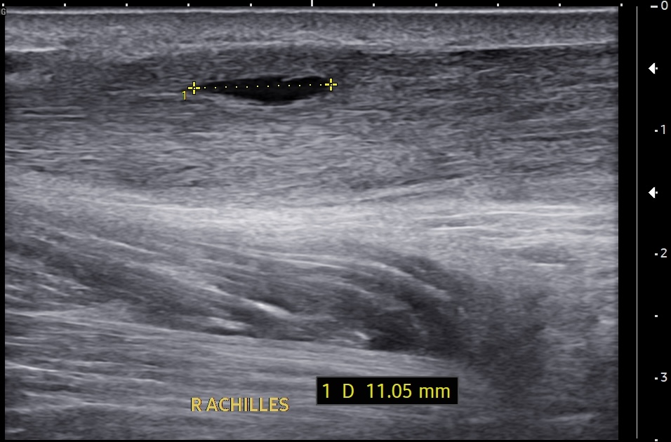
Long-axis ultrasound image of the midportion Achilles tendon showing the length of the intrasubstance partial tear.


Labeled long-axis ultrasound image of the midportion Achilles tendon showing increased thickness with the tendon exhibiting a convex shape and a longitudinal intrasubstance partial tear. The partial tear (solid arrow) is surrounded by hypoechogenic tendinotic tissue with loss of normal fibrillar architecture, while some healthy-appearing fibers remain, including deep to the tear. Labels: AT: Achilles tendon, FHL: Flexor hallucis longus, KFP: Kager's fat pad, solid arrow: partial tear


Unlabeled long-axis ultrasound image of the midportion Achilles tendon using color Doppler, demonstrating multiple intratendinous neovessels consistent with chronic and severe tendinopathy.


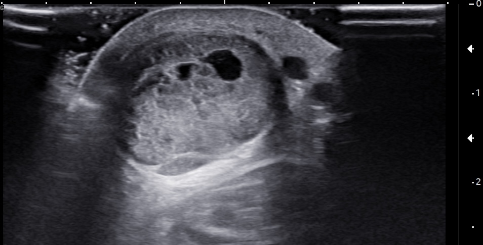
Unlabeled short-axis ultrasound image of the midportion Achilles tendon.


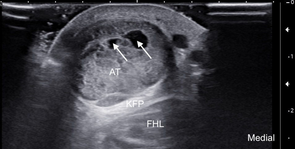
Labeled short-axis ultrasound image of the midportion Achilles tendon showing increased thickness, hypoechogenicity, and a few intrasubstance partial tears. Labels: AT: Achilles tendon, FHL: flexor hallucis longus, KFP: Kager's fat pad, solid arrows: intrasubstance tears


Unlabeled long-axis ultrasound image of the midportion Achilles tendon.

NOTE: For more information, please contact the AMSSM, 4000 W. 114th Street, Suite 100, Leawood, KS 66211 (913) 327-1415.
 

© The American Medical Society for Sports Medicine
4000 W. 114th Street, Suite 100
Leawood, KS 66211
Phone: 913.327.1415


Website created by the computer geek