Medial Gastrocnemius Aponeurosis Tear And Hematoma
 

Author: Alexandre Mazar, MD
Affiliation: Bassett Healthcare Network
Co Author(s): Robert Gapinski, MD, CAQSM, RMSK
Senior Editor: Adam Lewno, DO

Clinical Vignette: A 37-year-old male presents with a 6-month history of left calf pain that developed while running. He reported a popping sensation in his left lower leg at the start of his pain without any bruising observed. Exam was only notable for focal tenderness over the distal medial gastrocnemius muscle with intact range of motion and strength of the left ankle. Thompson test was negative

Type of Probe Used: 4-18 MHz linear array transducer



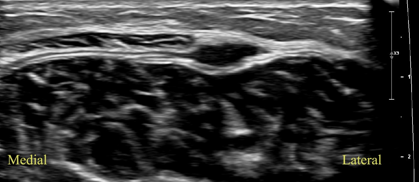
Short Axis view of Left Medial Gastrocnemius Soleus Aponeurosis with Free Gastrocnemius Aponeurosis Hematoma (Star)


Short Axis View of Left Medial Gastrocnemius Soleus Aponeurosis with Free Gastrocnemius Aponeurosis Hematoma


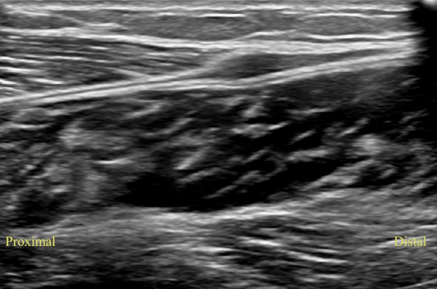
Long Axis view of Left Medial Gastrocnemius Soleus Aponeurosis with Free Gastrocnemius Aponeurosis Hematoma (Star)


Long axis view of Left Medial Gastrocnemius and Soleus Aponeurosis with Free Gastrocnemius Aponeurosis Hematoma

NOTE: For more information, please contact the AMSSM, 4000 W. 114th Street, Suite 100, Leawood, KS 66211 (913) 327-1415.
 

© The American Medical Society for Sports Medicine
4000 W. 114th Street, Suite 100
Leawood, KS 66211
Phone: 913.327.1415


Website created by the computer geek