Is It Just In My Head? - Page #3
 

Lab Studies:
Not applicable

Other Studies:
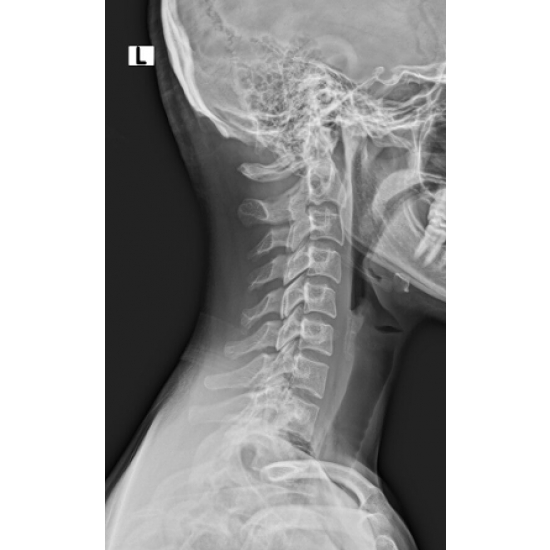
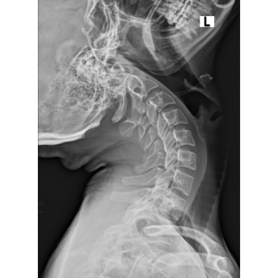
XR 4+ view cervical spine: Normal vertebral body and disc height. No acute osseous abnormality. Case Photo #1 , Case Photo #2 , Case Photo #3 , Case Photo #4
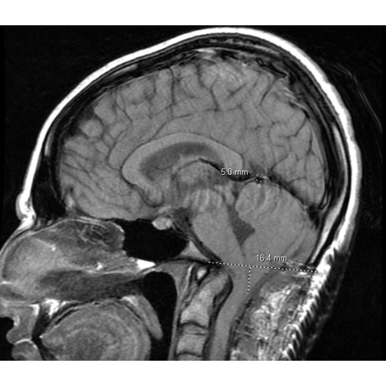
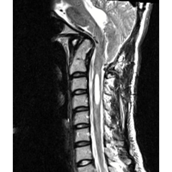
MRI cervical spine without contrast: Chiari 1.5 malformation with extensive syringomyelia of the cervical cord and partially imaged hydrocephalus of the fourth ventricle. Disc preserved in height and signal with no herniation or osteophyte complex C2-T1. Case Photo #5
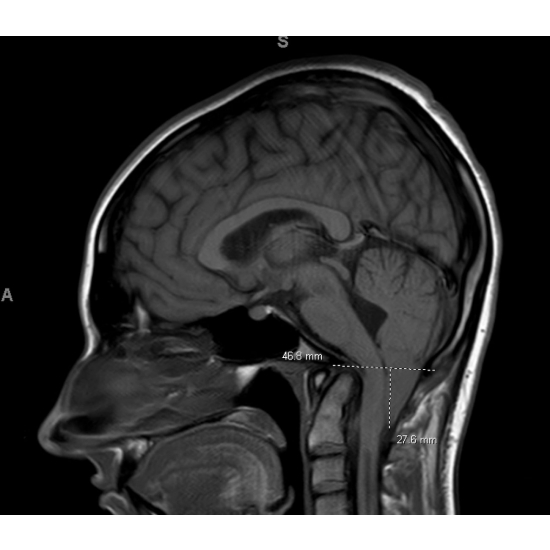
MRI brain without contrast: Redemonstration of malformation with the obex 28 mm below the level of the foramen magnum. Elongation of the fourth ventricle. Case Photo #6
MRI brain without contrast, post-operative day 1: post-surgical changes s/p laminectomy; reduced caudal displacement Case Photo #7
MRI cervical spine without contrast, post-operative day 1: associated hydromyelia of spinal cord; partially visualized 4th ventricle. Case Photo #8
MRI cervical spine without contrast, 3-months post operative: 20 mm caudal displacement of cerebellar tonsils, C2-C7 syrinx. Case Photo #9
MRI cervical spine without contrast, 9-months post operative: stable syrinx and displacement. Case Photo #10

Consultations:
Neurosurgery

Click here to continue. Challenge yourself by writing down a revised, working diagnosis before moving to the next slide.


NOTE: For more information, please contact the AMSSM, 4000 W. 114th Street, Suite 100, Leawood, KS 66211 (913) 327-1415.
 

© The American Medical Society for Sports Medicine
4000 W. 114th Street, Suite 100
Leawood, KS 66211
Phone: 913.327.1415


Website created by the computer geek