Application submission is now closed for the 2026 Class of AMSSM Fellows. New Fellows will be announced to the AMSSM membership after the first of the year and honored at the 2026 Annual Meeting.
Applications for the FAMSSM Designation will be available on an annual basis. Please contact Ellen Glasgowwith any questions regarding the FAMSSM application.
Registration Now Availabile for Fellow, Resident, and Student Members (Limited Registration). To register, Click here. Under the Membership heading, scroll down to the Event Link to register for a spot on a team. Your team will be given a sports medicine case to present at the event.
AMSSM Collaborate online community provides a forum for year-long connection, giving members the chance to have conversations, share resources and make connections with your peers.
AMSSM Informational Brochures  
Find informational brochures about sports medicine physicians geared toward coaches, parents and other healthcare professionals.
Find all current and past AMSSM Sports Medcast episodes in one convenient location.
AMSSM Fellow Online Lecture Series
The AMSSM National Fellow Online Lecture Series features talks from national experts on fundamental sports medicine topics pertinent to fellowship training and sports medicine board certification. Go to the collaborate.amssm.org site and view the available lectures in the Upcoming Events area.
Author: Alexandre Lavigne, MD Affiliation: Kansas City Orthopedic Alliance, University of Missouri PM&R, University of Montreal PM&R Co Author(s): Michael Khadavi, MD, RMSK Senior Editor: Derek Stokes, MD
Clinical Vignette: A 54-year-old female runner presented with a two-year history of insidious onset posterior ankle pain that began while running. Over the past two months, the pain has intensified significantly, ultimately preventing her from continuing to run. On physical examination, there is tenderness over the superior aspect of the posterior calcaneus at the Achilles tendon insertion. She is able to perform single-leg calf raises and single-leg hops, both of which reproduce her symptoms.
Type of Probe Used: 3-14 MHz linear array transducer
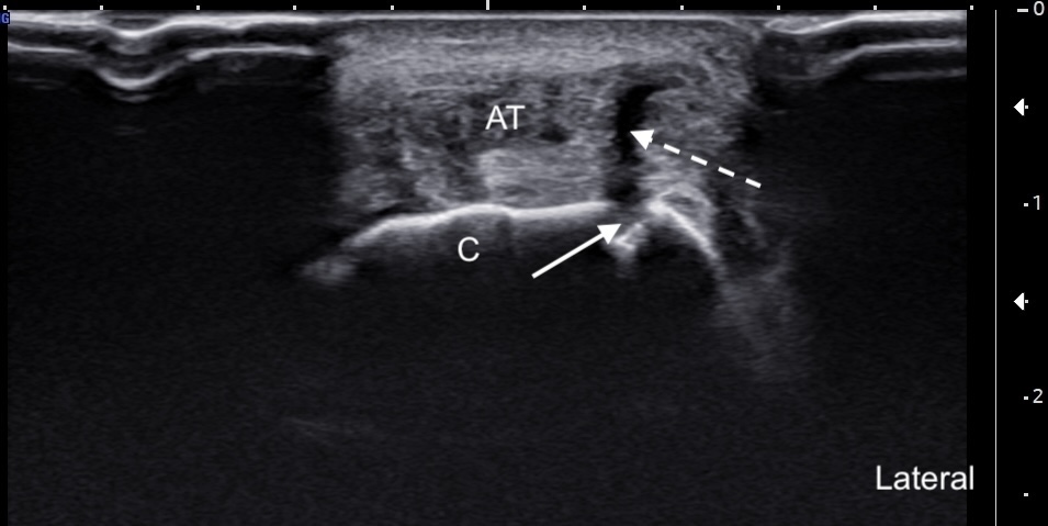
Labeled short-axis ultrasound image of the insertional Achilles tendon, a few millimeters distal to the superior edge of the calcaneus, demonstrating findings similar to those in Figure 4, with the addition of a clearly visible subcortical cyst.
Labels: AT: Achilles tendon, C: calcaneus, solid arrow: subcortical cyst, dashed arrow: partial tear.
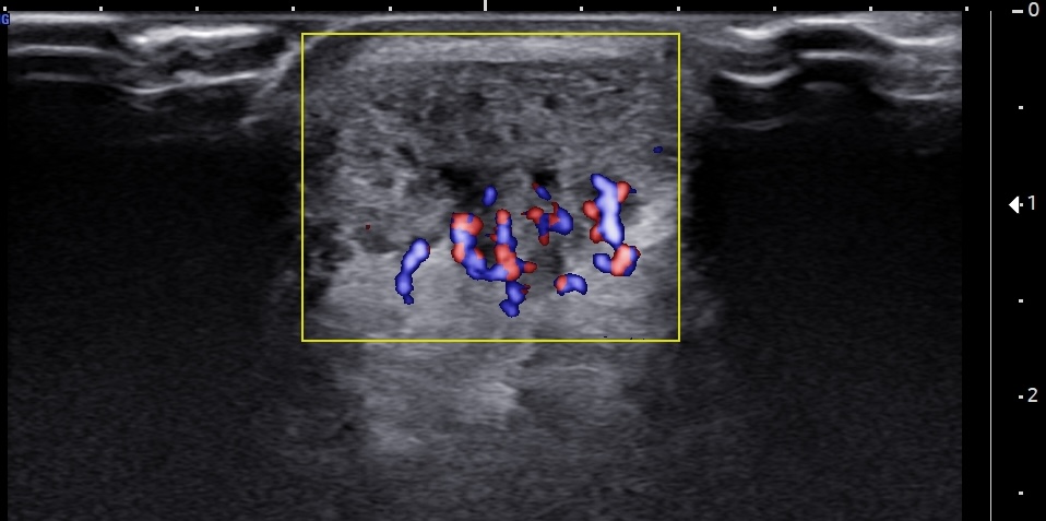
Short-axis ultrasound image of the pre-insertional Achilles tendon, a few millimeters proximal to the superior edge of the calcaneus, using color Doppler, demonstrating multiple neovessels within the retrocalcaneal bursa and the deep fibers of the tendon. Notably, the Doppler signal appears more prominent in the short-axis view compared to the long-axis images.
Unlabeled short-axis ultrasound image of the insertional Achilles tendon, a few millimeters distal to the superior edge of the calcaneus, demonstrating findings similar to those in Figure 4, with the addition of a clearly visible subcortical cyst.
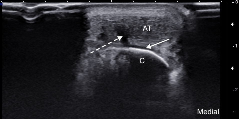
Labeled short-axis ultrasound image of the insertional Achilles tendon, at the level of the superior edge of the calcaneus showing increased thickness, hypoechogenicity, and partial tearing of the deep tendon fibers.
Labels: AT: Achilles tendon, C: calcaneus, solid arrow: retrocalcaneal bursa, dashed arrow: partial tear.
Unlabeled long-axis ultrasound image of the insertional and pre-insertional Achilles tendon using color Doppler, demonstrating a few neovessels at the retrocalcaneal bursa and within the deep tendon fibers, consistent with chronic bursitis and tendinopathy.
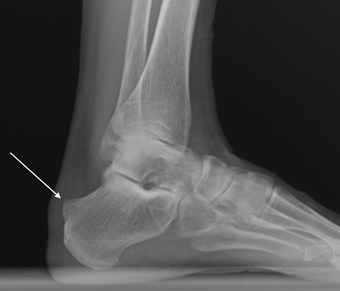
Image Interpretation: Chronic insertional and pre-insertional Achilles tendinosis associated with a Haglund's deformity. There is subcortical cystic change at the level of the Haglund deformity, consistent with chronic Achilles tendon pathology. Partial tearing of the deep fibers of the Achilles tendon is noted adjacent to the bony prominence. A mild retrocalcaneal bursal effusion is also present.
Teaching Pearl: This patient was managed conservatively, as she had not yet pursued any prior treatment for her Achilles tendon symptoms. A rigid heel wedge was prescribed, along with a progressive strengthening program in physical therapy, with care taken to avoid dorsiflexion beyond neutral during eccentric loading. If conservative management does not lead to meaningful improvement, more invasive interventions will be considered. A logical next step would be percutaneous ultrasonic tenotomy using newer, advanced devices capable of debriding both the pre-insertional Achilles tendon and the underlying Haglund deformity. This approach may also be combined with orthobiologic therapies to enhance healing.
Chimenti RL, Stover DW, Fick BS, Hall MM. Percutaneous Ultrasonic Tenotomy Reduces Insertional Achilles Tendinopathy Pain With High Patient Satisfaction and a Low Complication Rate. J Ultrasound Med. 2019 Jun;38(6):1629-1635. doi: 10.1002/jum.14835. Epub 2018 Oct 2. PMID: 30280399; PMCID: PMC6461537.
NOTE: For more information, please contact the AMSSM, 4000 W. 114th Street, Suite 100, Leawood, KS 66211 (913) 327-1415.