I Can't Remember: A Cheerleader With Acute Memory Loss - Page #3
 

Lab Studies:
CBC: Hemoglobin 9.5, iron studies showed iron deficiency
Metabolic: CMP, TSH, pregnancy test, urinalysis, Vitamin B1, Vitamin B9, Vitamin B12, Creatine Kinase, Lactate Dehydrogenase, Ammonia, Acetyl Carotene, urine organic acids, and pyruvic acid studies were unremarkable
Sexually Transmitted Infections: HIV, Syphilis, Gonorrhea, and Chlamydia testing was negative
Autoimmune: Erythrocyte Sedimentation Rate, C-reactive Protein, ANA, and Sjogren's antibody testing was unremarkable
CSF Studies: Lymphocytes present, NMDA-receptor antibody negative, Autoimmune Encephalopathy panel positive for anti-GAD65 antibodies

Other Studies:
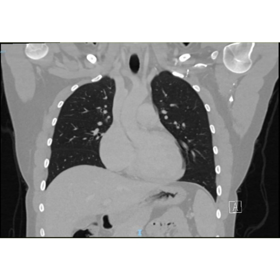
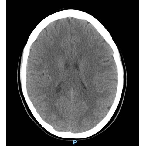
CT Head Case Photo #1 , CT Head/Neck Case Photo #2 , Brain MRI [Photo3] and CT Chest Case Photo #4 were all normal.
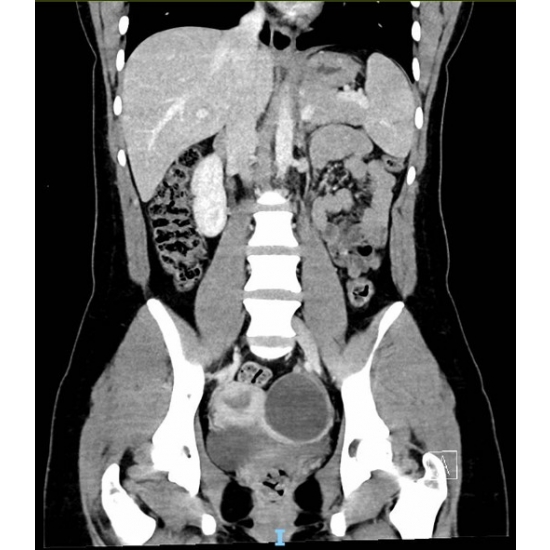
CT Abdomen/Pelvis Case Photo #5 revealed an 8 cm cystic structure in the left adnexa but was otherwise unremarkable.
Long term electroencephalography (EEG) demonstrated 60+ subclinical focal seizures emanating from the bilateral (left more than right) temporal regions in less than 24 hours.
Repeat Long term EEG after starting 3 anti-epileptic medications showed that she continued to have 40+ subclinical focal seizures per day, originating from the left temporal region.

Consultations:
Neurology was consulted on admission due to the worsening mentation. Hematology/oncology was later consulted for the iron deficiency anemia and recommendations for plasmapheresis. Gynecology was consulted for the ovarian cyst.

Click here to continue. Challenge yourself by writing down a revised, working diagnosis before moving to the next slide.


NOTE: For more information, please contact the AMSSM, 4000 W. 114th Street, Suite 100, Leawood, KS 66211 (913) 327-1415.
 

© The American Medical Society for Sports Medicine
4000 W. 114th Street, Suite 100
Leawood, KS 66211
Phone: 913.327.1415


Website created by the computer geek