Hip, Hip, Hooray: A Case Of Adolescent Hip Pain - Page #3
 

Lab Studies:
An initial complete blood count obtained in the emergency department did not reveal leukocytosis. White blood cells were 5.85 with a normal differential (neutrophils 70.6%, lymphocytes 13.0%, monocytes 15.0%, eosinophils 0.2%, and immature granulocytes 0.9%). Inflammatory markers were elevated on admission (erythrocyte sedimentation rate 40 mm/hr, and c-reactive protein 10 mg/dL). Blood cultures obtained on admission grew Staphylococcus aureus by hospital day 2.

Other Studies:
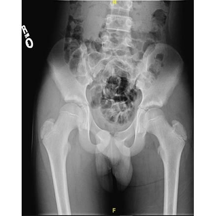
In the emergency department, an x-ray of his right hip and pelvis showed a well-preserved hip without acute fracture Case Photo #1 Case Photo #2 . An ultrasound of his right hip did not show a joint effusion in both transverse and longitudinal views Case Photo #3 Case Photo #4 . On admission, an MRI of his right hip and pelvis without contrast showed asymmetric right hip joint fluid Case Photo #5 . This was thought by Radiology to be within normal limits for his age. Due to an up-trending fever curve, up-trending inflammatory markers, and worsening pain by hospital day 2, an MRI of his right femur with contrast was obtained. It showed an increased small right hip joint effusion, however there was no evidence of myositis, osteomyelitis, or osseous lesions Case Photo #6 .

Consultations:
Pediatric Orthopedic Surgery, Radiology, Interventional Radiology, and Pediatric Infectious Diseases were consulted.

Click here to continue. Challenge yourself by writing down a revised, working diagnosis before moving to the next slide.


NOTE: For more information, please contact the AMSSM, 4000 W. 114th Street, Suite 100, Leawood, KS 66211 (913) 327-1415.
 

© The American Medical Society for Sports Medicine
4000 W. 114th Street, Suite 100
Leawood, KS 66211
Phone: 913.327.1415


Website created by the computer geek