Feeling Weak In The Knee: Lateral Knee Pain In An Adolescent Soccer Player - Page #4
 

Working Diagnosis:
Acute traumatic proximal tibiofibular joint instability, full-thickness posterior tibiofibular ligament tear, partial tear of the anterior tibiofibular ligament, and right high ankle sprain.

Treatment:
Initial treatment included an unlocked hinged knee brace with partial weight-bearing for four weeks. After that period, she transitioned to weight-bearing as tolerated and began physical therapy for a total of eight weeks. At twelve weeks, she continued to report pain, instability, and an inability to return to sports, prompting a referral for surgical consultation.

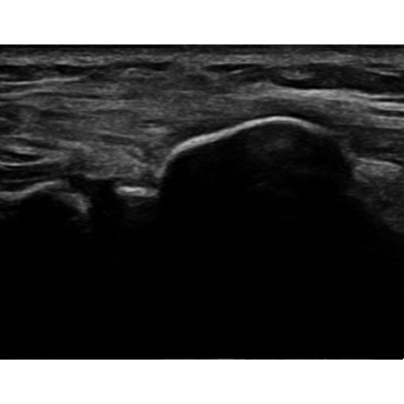
At the consultation, a platelet-rich plasma (PRP) injection was recommended due to persistent pain and instability. She underwent an ultrasound-guided PRP injection into the proximal tibiofibular joint (PTFJ) five months after the initial injury. At the time of the injection, point-of-care ultrasound revealed a hyperechoic lesion at the PTFJ Case Photo #8 , suspected to be scar tissue contributing to her ongoing pain.

Outcome:
Two weeks after PRP injection, the patient resumed physical therapy. By four weeks after PRP injection, the patient reported resolution of pain and instability and was able to participate in soccer practice without symptoms. She was then cleared to return to soccer without restrictions and had not had any reported recurrence of symptoms.

Author's Comments:
Proximal tibiofibular joint (PTFJ) instability accounts for less than 1% of all knee injuries. It is often a missed diagnosis in lateral knee injuries, as radiographic abnormalities may be subtle, and due to the occurrence of spontaneous reduction. Radiographic evaluation of the contralateral knee can be a useful modality to detect subtle differences in the positioning of the fibular head relative to the tibia in the affected knee. The Ogden classification describes four types of PTFJ instability; anterolateral displacement of the fibular head is the most common, as was the case in our patient. Common mechanisms include falls on a flexed knee with a plantarflexed and inverted foot, a twisting knee injury, or a direct blow to the knee. Evaluation for concurrent ankle/syndesmotic and peroneal nerve injuries is essential. Non-operative treatment, including closed reduction, an initial period of weight-bearing restrictions (partial- or non-weight-bearing), immobilization with a long leg cast or hinged knee brace, and/or physical therapy, is often recommended as first-line management, but has been associated with chronic pain and instability in up to approximately 25% of patients. To our knowledge, no cases of PTFJ instability treated with PRP have been reported in young athletes. Our case highlights PRP as a potential effective treatment option for PTFJ instability in athletes.

Editor's Comments:
Proximal tibiofibular joint (PTFJ) instability is rare and often underdiagnosed. Athletes in sports that involve frequent twisting and pivoting are at higher risk. This is typically a traumatic injury, but it is important to obtain a thorough history and physical exam, as a genetic predisposition to ligamentous laxity can lead to chronic instability and pain. Testing for hypermobility disorders, such as Ehlers-Danlos syndrome, should be considered.

In cases of traumatic fibular head injuries, it is important to evaluate for red flag symptoms, including foot drop, gait abnormalities, and numbness, tingling, or weakness in the affected lower extremity. The common fibular (peroneal) nerve and anterior tibial artery may be affected due to trauma to the lateral knee. These structures should also be monitored when prolonged pressure is applied to the area, such as from casting, splinting, or habitual leg crossing.

Additionally, it is important to assess for constitutional symptoms that may warrant further investigation for infections or hematologic conditions. Osteopathic Manipulative Treatment (OMT) by Doctors of Osteopathic Medicine (DOs) may be considered as a treatment option for fibular head dysfunction.

References:
Barker JU, Strauss EJ, Lodha S, Bach BR Jr. Extra-articular Mimickers of Lateral Meniscal Tears. Sports Health. 2011 Jan;3(1):82-8. doi: 10.1177/1941738110385997. PMID: 23015995; PMCID: PMC3445190.

Bouya A, Faraj C, Bouya R, En-Nouali H, Zidouh S, Bouabid S. Isolated proximal tibiofibular dislocation: Don't miss it. Radiol Case Rep. 2024 Aug 23;19(11):5182-5186. doi: 10.1016/j.radcr.2024.07.133. PMID: 39263509; PMCID: PMC11388045.

Kruckeberg BM, Cinque ME, Moatshe G, Marchetti D, DePhillipo NN, Chahla J, LaPrade RF. Proximal Tibiofibular Joint Instability and Treatment Approaches: A Systematic Review of the Literature. Arthroscopy. 2017 Sep;33(9):1743-1751. doi: 10.1016/j.arthro.2017.03.027. PMID: 28865578.

Sarac N, Burger J, Miller T. (2025). Proximal tibiofibular joint instability: Outcomes following reconstruction with biceps femoris and iliotibial band autografts with suture tape augmentation. Journal of Clinical Orthopaedics and Trauma, 64. https://doi.org/10.1016/j.jcot.2025.102942.

Shahid M, Kundra R. Platelet-rich plasma (PRP) for knee disorders. EFORT Open Rev. 2017 Mar 13;2(1):28-34. doi: 10.1302/2058-5241.2.160004. PMID: 28607768; PMCID: PMC5444079.

Syed AN, Landrum K, Ganley TJ. Platelet-rich plasma and other injectables in the young athlete. J Pediatr Soc North Am. 2024 Feb 28;6:100008. doi: 10.1016/j.jposna.2024.100008. PMID: 40433253; PMCID: PMC12088118.

Trojani MC, Le Goff B. AB1135 Echo-Anatomy of the Proximal Tibiofibular Joint. Annals of the Rheumatic Diseases. Volume 79, Supplement 1, 2020, Pages 1857-1858, ISSN 0003-4967, https://doi.org/10.1136/annrheumdis-2020-eular.3929.

Van Seymortier P, Ryckaert A, Verdonk P, Almqvist KF, Verdonk R. Traumatic proximal tibiofibular dislocation. Am J Sports Med. 2008 Apr;36(4):793-8. doi: 10.1177/0363546507312162. Epub 2008 Jan 24. PMID: 18219051.

van Wulfften Palthe AF, Musters L, Sonnega RJ, van der Sluijs HA. Dislocation of the proximal tibiofibular joint, do not miss it. BMJ Case Rep. 2015 Dec 1;2015:bcr2014207875. doi: 10.1136/bcr-2014-207875. PMID: 26628303; PMCID: PMC4680239.

Walinga AB, ter Laak Bolk CS, Janssen SJ, Dahmen, J. (2024). Proximal Tibiofibular Joint Injury. In: Espregueira-Mendes, J., Karlsson, J., Musahl, V., Ayeni, O.R. (eds) Orthopaedic Sports Medicine. Springer, Cham. https://doi.org/10.1007/978-3-030-65430-6_199-1

Return To The Case Studies List.


NOTE: For more information, please contact the AMSSM, 4000 W. 114th Street, Suite 100, Leawood, KS 66211 (913) 327-1415.
 

© The American Medical Society for Sports Medicine
4000 W. 114th Street, Suite 100
Leawood, KS 66211
Phone: 913.327.1415


Website created by the computer geek