Feeling Weak In The Knee: Lateral Knee Pain In An Adolescent Soccer Player - Page #3
 

Lab Studies:
None

Other Studies:
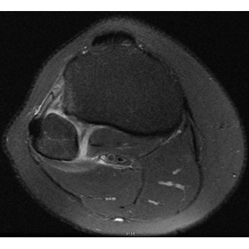
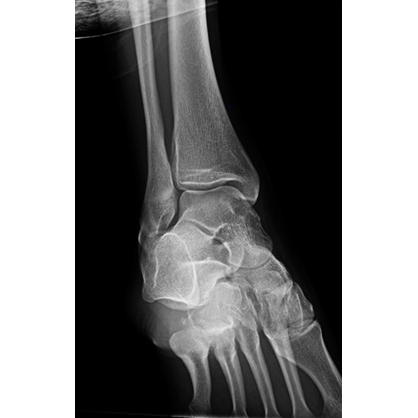
Independent interpretation of knee radiographs obtained at initial presentation in the ED were concerning for possible subluxation of the fibular head, with no acute fracture noted. Given the concern for high ankle sprain, radiographs of the right ankle with stress views were obtained in clinic which demonstrated a congruent ankle mortise with no acute fracture or evidence of instability on stress views Case Photo #5 . In addition, an MRI of the right knee without contrast was obtained which demonstrated full thickness tearing of the posterior tibiofibular ligament from its fibular attachment, partial tearing of anterior tibiofibular ligament, a small effusion of the proximal tibiofibular joint, and slight subluxation of the fibular head consistent with tibiofibular joint instability, with no fracture or chondral injury Case Photo #6 [Photo7].

Consultations:
None at initial presentation.

Click here to continue. Challenge yourself by writing down a revised, working diagnosis before moving to the next slide.


NOTE: For more information, please contact the AMSSM, 4000 W. 114th Street, Suite 100, Leawood, KS 66211 (913) 327-1415.
 

© The American Medical Society for Sports Medicine
4000 W. 114th Street, Suite 100
Leawood, KS 66211
Phone: 913.327.1415


Website created by the computer geek