Feeling Weak In The Knee: Lateral Knee Pain In An Adolescent Soccer Player - Page #1
 

Author: Efreim Joseph Morales, MD, MS
Co Author #1: Anthony Luke, MD, MPH
Co Author #2: Faustine Ramirez, MD
Senior Editor: Drew Duerson, MD
Editor: Kelly Evans-Rankin, MD

Patient Presentation:
A 16-year-old female club soccer player presented to the Sports Medicine clinic with continued right lateral knee pain and instability.

History:
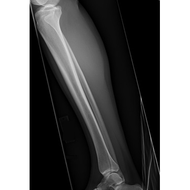
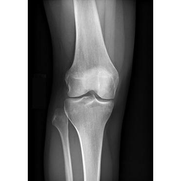
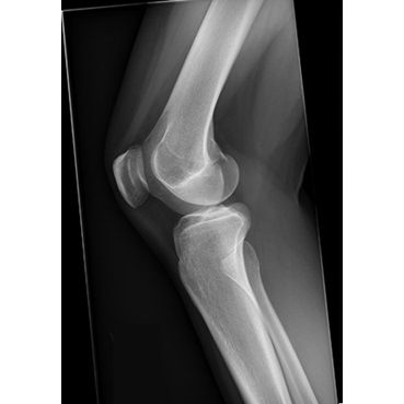
The patient reported acute onset of right lateral knee pain after being slide-tackled during a soccer match five days earlier. She experienced a varus force to her knee as she went for the ball. She reported a sensation of "popping out" at the lateral aspect of her knee at the time of injury. She stated that she had a visible deformity noted to the lateral inferior aspect of her right knee, which was self-resolved by the time she presented to a local ED for initial evaluation. She did not recall exactly how or when it reduced. She was unable to bear weight immediately after the injury. In the ED, radiographs were obtained Case Photo #1 Case Photo #2 Case Photo #3 Case Photo #4 which were negative for acute fracture or dislocation. The patient did not recall the diagnosis, but was recommended a compression wrap, crutches, and analgesics. She was advised to follow up with Sports Medicine. She presented to the Sports Medicine clinic with continued right lateral knee pain with weight-bearing, knee instability, and right anterolateral ankle pain. She reported minimal knee or ankle swelling. She denied symptoms of catching, clicking, locking, skin changes, or lower extremity paresthesias. She had no prior history of injury to the right knee.

Physical Exam:
Inspection of the right knee revealed mild soft tissue swelling around the proximal fibula, with no deformity or ecchymosis. There was tenderness to palpation at the fibular head, proximal tibiofibular joint, and lateral joint line. She had active range of motion from 0 to 135 degrees, with pain in terminal flexion and extension. Strength was 5/5 with resisted knee extension and 4/5 with resisted knee flexion, limited by pain. On provocative testing, there was lateral knee pain with modified Apley and McMurray tests. Thessaly was not completed due to pain. Additionally, there was pain with varus stress testing, without instability. Lachman, anterior drawer, and posterior drawer tests were deferred due to significant pain and guarding. On neurovascular assessment of the right lower extremity, she had intact sensation to light touch, and skin was warm and well-perfused, with intact pedal pulses.

Inspection of the right ankle revealed no swelling, deformity, or ecchymosis. There was tenderness to palpation along the distal third of the fibular shaft, lateral malleolus, and anterior inferior tibiofibular ligament. She had full range of motion, with discomfort in the terminal planes. Strength was 5/5 in resisted ankle dorsiflexion, plantarflexion, inversion and eversion. On provocative testing, there was anterolateral ankle pain with forced dorsiflexion/external rotation stress test, negative fibular translation, and positive syndesmosis squeeze test. The talar tilt and anterior drawer tests were negative. On neurovascular assessment of the right lower extremity, sensation to light touch and motor function were intact, and her skin was warm and well-perfused, with intact pedal pulses.

Click here to continue. Challenge yourself by writing down a broad differential diagnosis before moving to the next slide.


NOTE: For more information, please contact the AMSSM, 4000 W. 114th Street, Suite 100, Leawood, KS 66211 (913) 327-1415.
 

© The American Medical Society for Sports Medicine
4000 W. 114th Street, Suite 100
Leawood, KS 66211
Phone: 913.327.1415


Website created by the computer geek