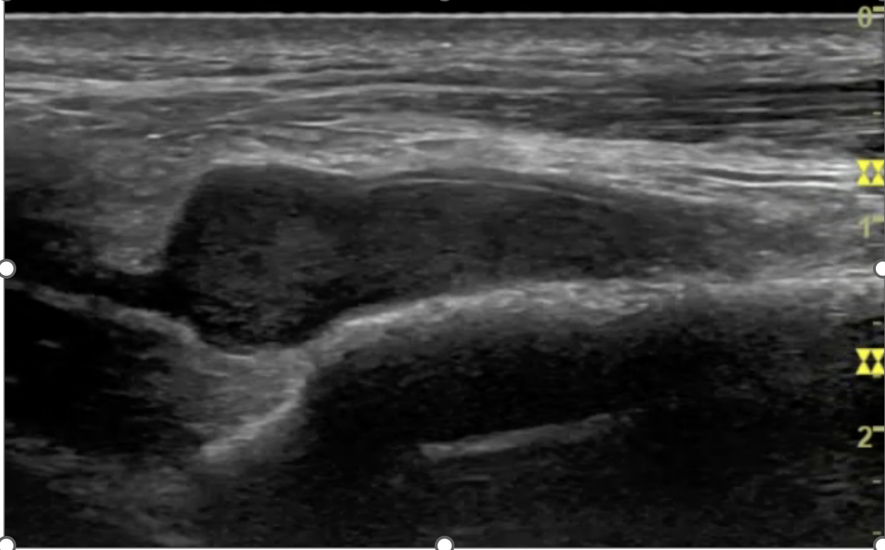
Image Interpretation: LAX view, ill-defined mass abutting the anterior tibial artery between the tibialis anterior and extensor hallucis longus tendons. 2.7 x 0.8 x 1.1 cm. Notable blood flow proximally and within mass observed with Doppler.
Teaching Pearl: Glomus tumors typically present in the upper extremities (particularly the hand/fingers) and as such can often be difficult to diagnose in other parts of the body. Patients with glomus tumors often have pinpoint tenderness, paroxysmal pain, and cold sensitivity. Clinical diagnosis can be tricky as those three characteristics are often isolated and less frequently occur together. US/MRI are the diagnostic imaging modalities of choice. US with doppler can be helpful in diagnosis as they can be mistaken for other benign masses and can help assist in the evaluation of an arterial supply feeding the tumor. A case series from the Hospital for Special Surgery (HSS) over the course of 18 years excised 11 glomus tumors from the foot, with the majority of them located in the distal hallux.1 The glomus tumor from this case matches descriptions of other extradigital glomus tumors, including a "vascular stack", however it is larger in size compared to the mean size (1 cm) from a study analyzing non-subungal glomus tumors.2 Typical glomus tumors are visualized as small, well-circumscribed, hypoechoic nodule with prominent arterial flow (vascular stalk).
1) Trehan SK, Soukup DS, Mintz DN, Perino G, Ellis SJ. Glomus Tumors in the Foot: Case Series. Foot Ankle Spec. 2015 Dec;8(6):460-5. doi: 10.1177/1938640015583514. Epub 2015 Apr 28. PMID: 25926521.
2) Park HJ, Jeon YH, Kim SS, Lee SM, Kim WT, Park NH, Park SI, Hong HP, Rho MH. Gray-scale and color Doppler sonographic appearances of non-subungual soft-tissue glomus tumors. J Clin Ultrasound. 2011 Jul;39(6):305-9. doi: 10.1002/jcu.20830. Epub 2011 Apr 21. PMID: 21520136.