Can't Shrug This Shoulder Pain -- Not Your Typical Overuse Injury - Page #3
 

Lab Studies:
Complete blood count and comprehensive metabolic panel were within normal limits. Magnesium was normal. PT/INR/PTT were normal. Troponin level was 3 and BNP was 8.

Other Studies:
Radiographs of the right shoulder were unremarkable.
MR arthrogram of the right shoulder showed an anterior superior labral defect at 11:00-3:00 which was suspicious for a possible superior glenoid labral tear. No rotator cuff tear.
Doppler Ultrasound of the right upper extremity showed an occlusive deep vein thrombosis from the right subclavian vein to the distal right brachial vein.
Peri-operative right upper extremity venogram demonstrated a complete occlusion of the right brachial, axillary, & subclavian veins. Large collateral from brachial to basilic vein, which appeared to drain the majority of the right upper extremity. Patent superior vena cava & right internal jugular.
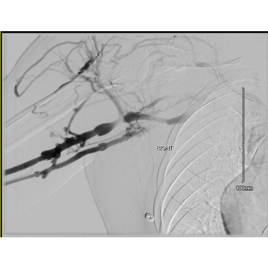
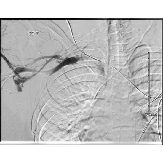
BRACHIAL AND AXILLARY VEINS
Pre-Angio: NOTE COLLATERAL FLOW VIA PERFORATING VEINS FROM DEEP (BRACHIAL, AXILLARY, SUBCLAVIAN) TO SUPERFICIAL SYSTEM (IJ)
Case Photo #3
Post-Angio
Case Photo #4
Pre-Angio Subclavian
Case Photo #5
Post-Angio Subclavian 1
Case Photo #6
Post-Angio Subclavian 2
Case Photo #7

Consultations:
Orthopedic surgery
Vascular surgery
Cardiothoracic surgery

Click here to continue. Challenge yourself by writing down a revised, working diagnosis before moving to the next slide.


NOTE: For more information, please contact the AMSSM, 4000 W. 114th Street, Suite 100, Leawood, KS 66211 (913) 327-1415.
 

© The American Medical Society for Sports Medicine
4000 W. 114th Street, Suite 100
Leawood, KS 66211
Phone: 913.327.1415


Website created by the computer geek