Achilles Tendon Rupture
 

Author: Kelsey Bacidore, MD
Affiliation: Loyola University
Senior Editor: William Berrigan, MD
Senior Editor: Michele Lane, ****

Clinical Vignette: 38-year-old female unable to bear weight on her left leg after landing on her foot while playing volleyball. She felt a pop with resulting pain in her calf. There was a palpable deformity proximal to the Achilles insertion and minimal plantar flexion on the Thompson test.

Type of Probe Used: 13-6 MHz Linear Transducer



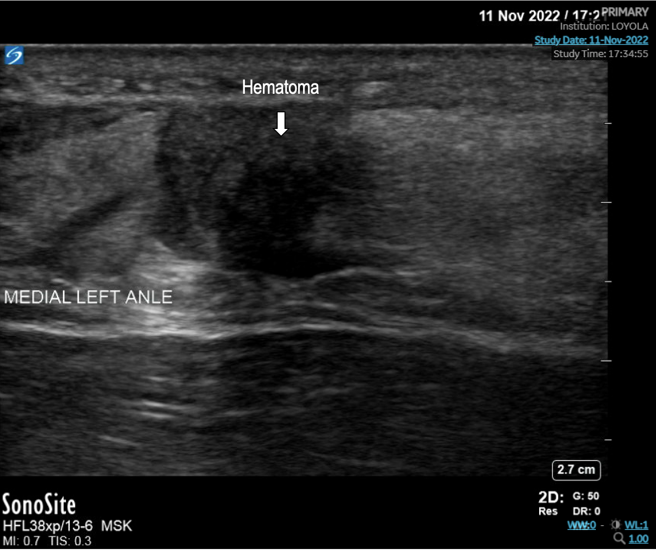
The linear probe is in the longitudinal position. The distal Achilles is on the right, proximal on the left, and the hematoma caused by the rupture is visualized in the center of the image.
View Video

The linear probe is in the longitudinal position, scanning distally over the Achilles and then fanning through the tendon. There is an anechoic defect where the distal (right) portion of the tendon ruptured from the proximal (left) portion.
View Video

The linear probe is in the longitudinal position, scanning from the proximal tendon, over the hematoma caused by the rupture, to the distal portion.
View Video

The linear probe is in the longitudinal position; the foot is being plantarflexed and dorsiflexed. Movement of the distal tendon can be seen while the proximal tendon is immobile.

NOTE: For more information, please contact the AMSSM, 4000 W. 114th Street, Suite 100, Leawood, KS 66211 (913) 327-1415.
 

© The American Medical Society for Sports Medicine
4000 W. 114th Street, Suite 100
Leawood, KS 66211
Phone: 913.327.1415


Website created by the computer geek