A Peculiar Case Of Chronic Ankle And Wrist Pain In A 7 Year-old Youth Football Player - Page #3
 

Lab Studies:
WBC 3.77
Hct: 37.9
Hgb: 13.4
Platelet: 306
ESR: 14
CRP: < 0.5
LDH: 549
COVID-19 PCR: Negative
HLA-B27: Positive
Quantiferon Gold: Negative

Other Studies:
X-ray right forearm, hand, and wrist: The x-ray of the wrist showed some mild soft tissue swelling as well as demineralized appearing bones. Case Photo #3
MRI right wrist: On right wrist MRI, the coronal proton density, fluid sensitive sequence revealed multicompartmental joint effusions in the distal radioulnar joint, radiocarpal and intercarpal joints as well as bone edema in the hamate and capitate Case Photo #4 . The T1 sequence did not show any bone erosions Case Photo #5 . On the axial cuts, increased fluid signal intensity can be seen within the 2nd through 4th extensor compartment tendon sheaths indicating significant tenosynovitis Case Photo #6 .
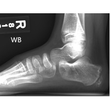
The x-ray of the foot was unremarkable and did not show any soft tissue swelling Case Photo #7
MRI Right Foot: The right foot MRI showed fluid in the anterior aspect of the tibiotalar joint and in the posterior recess of the posterior facet subtalar joint Case Photo #8 . Once again, no bone erosions were seen on MRI of the foot Case Photo #9

Consultations:
The patient was referred to Pediatric Rheumatology. Physical examination by Pediatric Rheumatology had significant skin findings, including a faint psoriatic rash over the right eyelid and a crusted scab over the upper and lower lips Case Photo #10 . The glans of the penis showed erythema and peeling of the skin with some scaling.
The patient had multiple areas of tenderness. In the right upper extremity, tenderness was noted at the acromioclavicular joint, wrist, carpometacarpal, and first metacarpal phalangeal joint. In the left upper extremity, there was tenderness over the acromioclavicular joint and the fifth proximal interphalangeal joint. The right lower extremity was tender of the right medial knee, lateral joint lines, and tibiotalar joint. The left lower extremity was tender over the acetabulofemoral, tibiofemoral, and tibiotalar joints as well as the second through fifth metatarsal phalangeal joints.
Swelling was noted in the right upper extremity at the right wrist and carpometacarpal joint.
Range of motion evaluation found mild pain with right knee flexion, decreased external rotation of left hip, decreased range throughout right ankle testing, and left ankle with some stiffness on attempted range of motion.
Additional findings included right calf atrophy and a subtle limp in the right lower extremity.

Click here to continue. Challenge yourself by writing down a revised, working diagnosis before moving to the next slide.


NOTE: For more information, please contact the AMSSM, 4000 W. 114th Street, Suite 100, Leawood, KS 66211 (913) 327-1415.
 

© The American Medical Society for Sports Medicine
4000 W. 114th Street, Suite 100
Leawood, KS 66211
Phone: 913.327.1415


Website created by the computer geek